Ich bin die,
die im Wald Blumen
unterm Laub findet.
Ich bin die,
die mutig auf ihr
Herz vertraut.
Ich bin die,
die mit der Kamera
Schmetterlinge einfängt.
Ich bin die,
die selbst bissige
Hunde zähmen kann.
Ich bin die,
die gnadenlos
ehrlich ist.
Ich bin die,
die läuft und läuft.
Ich bin die,
die barfuss im
Regen tanzt.
Ich bin die,
die nie wirklich
aufgibt.
Ich bin die,
die gerne einmal
abtaucht.
Ich bin die,
die nicht ins
Raster passt.
Ich bin die,
die vorm zu Bett gehen
pfeift.

Wenn Lebensende auf Lebenslust trifft. 

Unsere Porträts zeigen zwei Seiten unserer Realität -

und machen den Kontrast zwischen schwarz-weissen Untersuchungsergebnissen und unseren bunten Persönlichkeiten sichtbar. Die existenzielle Schwere der Krankheit trifft auf die Stärke und Eigenständigkeit von zwölf Frauen mit Metastasen, die sich nicht auf eine passive Rolle reduzieren lassen, sondern ihr Leben selbstbestimmt weiterführen. 

Von unseren eigenen Texten inspiriert, wurden wir vom Fotografie-Atelier Lupi Spuma und dem Kreativteam von Kurvenkratzer in Szene gesetzt. 

Entdecke, wer wir wirklich sind:

Die Krankheit ist Teil unserer Geschichte, bestimmt aber nicht unsere Identität. 

 

Medical scan of Aselia R.

Aselia R.

Erstediagnose: Brustkrebs HR+, HER+ 09/2023
Diagnose Metastasen: 09/2023

Metastasen: leber

Portrait of Aselia R.
Medical scan of Julia B.

Julia B.

Erstdiagnose: Brustkrebs HR-, HER2+ 08/2022
Diagnose Metastasen: 08/2022

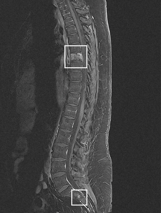
Metastasen: Leber, Knochen (Wirbelsaule, Brustbein, Becken, Oberschenkel)

Portrait of Julia B.
Medical scan of Anna F.

Anna F.

Erstdiagnose: Brustkrebs triple negativ 08/2018
Diagnose Metastasen: 04/2022

Metastasen: Lunge

Portrait of Anna F.
Medical scan of Céline L.

Céline L.

Erstdiagnose: HR+, HER2 low 12/2022
Diagnose Metastasen: 12/2022

Metastasen: Leber, Lymphknoten (Bauchraum)

Portrait of Céline L.
Medical scan of Daniela S.

Daniela S.

Erstdiagnose: Brustkrebs HR+, HER2 low 02/2018
Diagnose Metastasen: 2019

Metastasen: Knochen (Wirbelsäule, Becken, Oberschenkel, Unterschenkel, Knie, Schulter), Leber

Portrait of Daniela S.
Medical scan of Julia Z.

Julia Z.

Erstdiagnose: HR+, HER2 low 01/2022
Diagnose Metastasen: 01/2022

Metastasen: Knochen, Leber

Portrait of Julia Z.
Medical scan of Melanie V.

Melanie V.

Erstdiagnose: Brustkrebs HR+, HER2- 06/2019
Diagnose Metastasen: 08/2024

Metastasen: Knochen (Wirbelsäule, Arme, Becken, Oberschenkel)

Portrait of Melanie V.
Medical scan of Marina M.

Marina M.

Erstdiagnose: 2Brustkrebs: 1 Herd HR+, HER2+; 1 Herd triple negativ 03/2015
Diagnose Metastasen: 08/2018

Metastasen: Lunge, Lymphknoten (Brustkorb), Knochen (Wirbelsäule, Schädel, Hüfte, Rippe), Leber

Portrait of Marina M.
Medical scan of Susanne R.

Susanne R.

Erstdiagnose: Brustkrebs HR+, HER2- 07/2014
Diagnose Metastasen: 10/2024

Metastasen: Leber, Knochen (Rippen, Wirbelsäule, Becken)

Portrait of Susanne R.
Medical scan of Petra W.

Petra W.

Erstdiagnose: Brustkrebs HR-, HER2+ 12/2016
Diagnose Metastasen: 12/2016

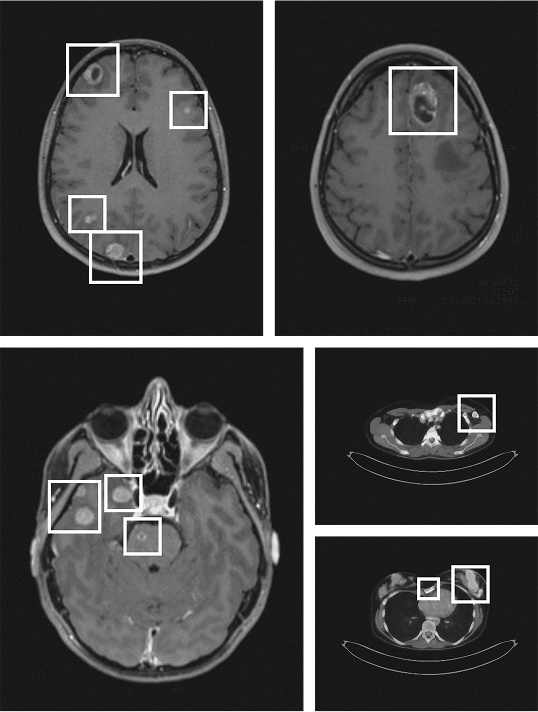
Metastasen: Lymphknoten, Knochen (Wirbelsäule, Brustbein, Rippen, Schlüsselbein), Hirn

Portrait of Petra W.
Medical scan of Patricia K.

Patricia K.

Erstdiagnose: Kleinzelliges neuroendokrines Karzinom der Gallenblase, HER 2+ 02/2023
Diagnose Metastasen: 02/2023

Metastasen: Knochen (Schenkelhals, Wirbelsäule), Lymphknoten (Hals, Achselhöhle, Brustkorb, Bauchraum), Bauchspeicheldrüse

Portrait of Patricia K.
Medical scan of Tanja B.

Tanja B.

Erstdiagnose: Brustkrebs triple negativ 10/2020
Diagnose Metastasen: 11/2021

Metastasen: Knochen (Brustbein), Hirn

Portrait of Tanja B.

Über den Verein Metastasierter Brustkrebs Schweiz (MBKS)

Unser Verein Metastasierter Brustkrebs Schweiz (MBKS) wurde 2024 von Anna Farris und Daniela Sansone gegründet. Er setzt sich ein für die Sichtbarkeit, Aufklärung und Vernetzung von Menschen mit metastasiertem Brustkrebs. Unsere Vision: Eine Gesellschaft, in der Betroffene gesehen, gehört, und gestärkt werden. 

Zur Website von MBKS

Einen riesiges Dankeschön! an
die Sponsoren der Kampagne

Was du unbedingt wissen solltest: 

Was sind Metastasen?

Über Metastasen

Was wollen wir erreichen?

Unser Ziel

Was hat Krebs mit Kunst zu tun?

Unser Konzept